Orthodontics
矯正歯科

歯並びを整え
将来的なリスクを回避する
お子様でも大人の方でも歯並びの乱れでお悩みの声をうかがっていますが、歯並びやかみ合わせの改善は、単に見た目の美しさだけではありません。
バランスの取れた咬合は、食事の質を向上させ、消化器官への負担を軽減します。また、歯周病や虫歯のリスクを下げることにもつながります。
歯列矯正で歯を正しい位置に導くことで、口腔衛生状態が改善され、全身の健康にもポジティブな影響を与えるのです。
歯並びの乱れで
お悩みではありませんか?

- 歯がでこぼこしている
- 受け口や出っ歯が気になる
- 口の動きから発音や滑舌が悪い
- 歯並びが悪いことがコンプレックスになっている
- しゃべったりするのがプレッシャーになっている
- 前歯がうまく閉じられない
- すきっ歯が気になる
- 口もとや歯の形を綺麗にしたい
- 口が開いたままになりがちである
当院の矯正歯科への想い
歯並びの悩みは誰にでも抱えうること

当院の院長は一般開業医でありながら、開業当初から矯正治療に積極的に取り組み、研鑽を重ねてきました。矯正治療というと「子供向け」や「見た目の美しさを求める若い女性向け」と思われがちですが、実際の歯科治療の現場では矯正が不可欠な場面が多々あります。
例えば、すでに歯を失ってしまった方のかみ合わせのバランス改善にも矯正治療が必要です。欠損部分に対して適切な処置を行わないと、周囲の歯が徐々に移動し、かみ合わせが崩れることがあります。こうした状態で補綴治療(被せ物やインプラント)を行うと、どうしても妥協的な治療になりやすくなります。また、もともとかみ合わせにリスクがある歯並びの方は、早期に歯を正しい位置に整えることで将来的なトラブルを防ぐことが可能です。
歯並びの乱れをそのままにしてるとどうなるの?
矯正治療は見た目の改善だけでなく、かみ合わせや口腔内の健康にも直結します。歯並びが悪いと、
- 虫歯や歯周病のリスクが高まる
- 発音や咀嚼機能に影響を与える
- 顎関節症の原因になることもある
当院ではデジタル技術を活用し、患者さんの負担を軽減しつつ、症状に合った矯正治療を提供しています。興味のある方は、ぜひ無料相談にお越しください!
メールはこちらから
お問い合わせどのようにかみ合わせや歯並びを解決していくか
当院ではかみ合わせ整え、歯を正しい位置に移動させるために、インプラントや補綴をする前に、歯列矯正を行うことをすすめています。当院ではワイヤー矯正、およびアライナー矯正を提案しています。
日本顎咬合学会の指導医による専門的なかみ合わせ治療

当院では、日本顎咬合学会の指導医である院長が、歯並びの見た目の綺麗だけでなくかみ合わせまで総合的に診断・治療を行います。
また歯の正しい位置への移動や、かみ合わせのバランスを整えることによって、下記のようなメリットがあります。
- 歯や顎への負担を軽減
- 食生活の改善
- 全身の健康維持
矯正歯科治療①
ワイヤー矯正(ゴムメタル)と
アライナー矯正
当院では主にワイヤー矯正(ゴムメタル)とマウスピース型アライナー矯正(インビザライン・インハウスアライナー)の2つの手法、またはその組み合わせで治療を行っています。どちらが優れているというものではなく、それぞれの特徴を活かし、患者さんの状況に合わせた治療法をご提案します。
ワイヤー矯正(ゴムメタル)

ワイヤー矯正(ゴムメタル)のメリット
- 治療期間が短い(多くのケースで1年以内に終了)
- ワイヤーのメカニクスを活用することで、早期に叢生(歯のガタガタ)を改善
- 奥歯の全体移動が可能で、歯列全体のバランスを調整しやすい
- 親知らずの抜歯が必要なケースが多いが、長期的な安定性を確保しやすい
アライナー矯正

アライナー矯正のメリット
- 透明で目立ちにくく、見た目に配慮した治療が可能
- 取り外し可能で、歯磨きや食事がしやすい
- 違和感が少なく、快適に矯正を進められる
ただし、マウスピース矯正は装着時間が治療結果に大きく影響するため、患者さん自身の自己管理が治療の成否を左右します。当院では外注システムであるインビザライン、そして院内デジタル機器を活用したインハウスアライナーを症例に応じて提案し、より柔軟な矯正治療を可能にしています。
矯正歯科治療②
4Dアライナー
(ダイレクトプリント
アライナーDPA)
4Dアライナー(ダイレクトプリントアライナーDPA)の導入

2024年3月より、新たに「4Dアライナー(ダイレクトプリントアライナー:DPA)」を導入します。当医院では多くの研究と信頼されるデータからの実績があるLucCreoという製品を採用しております。
新しい技術を駆使した形状記憶機能(シェイプメモリー)を持つマウスピース矯正システムです。
4Dアライナーの特徴
当院で取り扱う4Dアライナーには、
- 形状記憶機能により、マウスピースが高温で一定の形を保持し、より少ないステップで矯正が可能
- 院内でダイレクトにプリントすることで納期を大幅に短縮
- 模型を介さず直接プリントすることでマウスピースの適合性が向上
- 高精度なグリップ力により、よりスムーズな歯の移動が可能
などの特徴があります。これらの優位性から、より安定したかみ合わせを早期にかなえたい方におすすめしています。
矯正歯科の治療症例
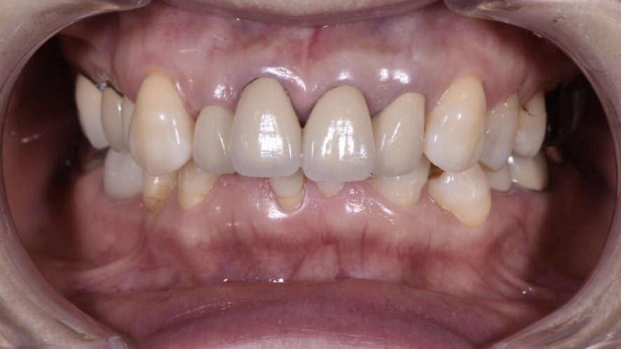
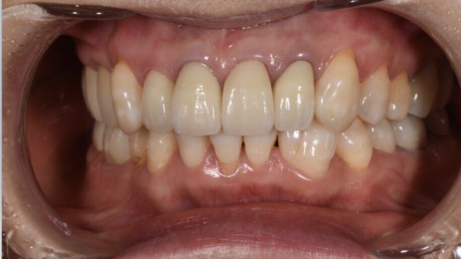
将来に備えて歯牙が残っているうちに矯正治療をおこなった症例(マウスピース矯正、セラミック修復)

Before

After
| 主訴 | 将来に対する不安がある |
|---|---|
| 診断名 | 歯列不正(叢生)、歯牙の先天欠損および癒合歯 |
| 年齢・性別 | 50代女性 |
| 治療期間・回数 | 40ヶ月 |
| 治療方法 | 初診時に歯列不正を伴う多数の失活歯(神経がない歯)があり、将来的な歯牙破折による治療の複雑化が予測されました。各歯牙に問題が起こる前にマウスピース矯正により歯牙のポジションを整え、セラミック修復を行い将来的なリスクを軽減することに努めました。 |
| 費用 | 400万円 |
| 注意点 | 全顎的に治療が必要なため治療期間がかかります。治療の中には保険治療が含まれていない項目があるため費用がかかります。治療期間中は仮の歯で生活する必要があり、仮歯の破損や脱離が起こることがあります |
| 備考 |
治療後には保定期間へ
保定期間は、経過を確認しながら保定を行うことが大切であり、歯列矯正治療で整えた歯並びを長期間キープするために不可欠な段階です。この期間は、患者がリテーナーを正しく使用することで、治療後の後戻りを防ぐ重要な役割を果たします。
例えば保定期間が短すぎると、歯が再び動き始め、矯正治療の効果が失われる可能性があるため、矯正治療の成果を保持するためには、しっかりと管理する必要があります。

矯正治療後こそしっかりお口のケア
保定の状態を確認するためにも矯正治療後、年に1回から2回の定期健診を推奨しています。その際、歯科医院での検診やクリーニングを受けることで、虫歯や歯周病を予防し、歯を健康に保つことができます。特に、矯正装置をつけていると難しかったケアも矯正後は出来るようになるものもありますので、歯の状態をしっかり管理することが大切です。
矯正歯科のよくある質問
歯の神経を取ることで、影響はありますか?
神経を取った歯は、栄養が行き届かなくなることで強度が低下し、割れやすくなる場合があります。治療方法については、歯の状態に応じて適切な選択肢をご案内いたします。
根管治療はどのくらいの期間がかかりますか?
歯の根の形状や感染の程度によって異なりますが、数回の通院で終わる場合もあれば、数ヶ月かかることもあります。当院ではマイクロスコープを用いて、肉眼では見えない汚れの除去をする治療を行っております。
神経を抜いて困ることはありますか?
神経を抜いた歯は変色しやすくなるほか、虫歯が進行しても痛みを感じにくいため、発見が遅れる場合があります。治療後の状態を保つためには、歯の状況に応じた継続的なチェックが役立ちます。