トップダウントリートメント審美歯科矯正歯科
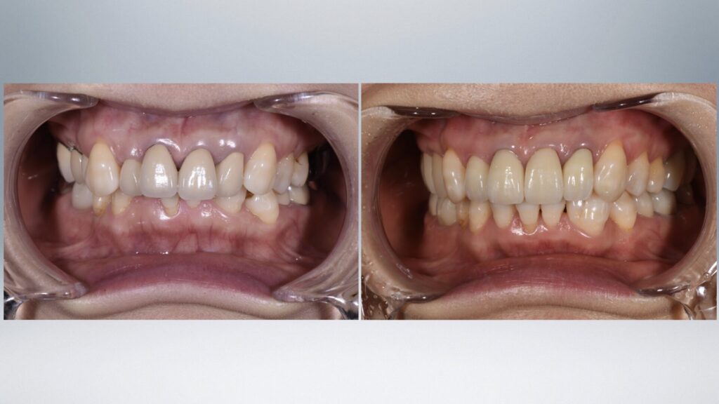
将来に備えて歯牙が残っているうちに矯正治療をおこなった症例(マウスピース矯正、セラミック修復)

Before

After
| 主訴 | 将来に対する不安がある |
|---|---|
| 診断名 | 歯列不正(叢生)、歯牙の先天欠損および癒合歯 |
| 年齢・性別 | 50代女性 |
| 治療期間・回数 | 40ヶ月 |
| 治療方法 | 初診時に歯列不正を伴う多数の失活歯(神経がない歯)があり、将来的な歯牙破折による治療の複雑化が予測されました。各歯牙に問題が起こる前にマウスピース矯正により歯牙のポジションを整え、セラミック修復を行い将来的なリスクを軽減することに努めました。 |
| 費用 | 400万円 |
| 注意点 | 全顎的に治療が必要なため治療期間がかかります。治療の中には保険治療が含まれていない項目があるため費用がかかります。治療期間中は仮の歯で生活する必要があり、仮歯の破損や脱離が起こることがあります |
| 備考 |


