トップダウントリートメント口腔外科審美歯科短期集中治療
アクティブシニアの方の歯列不正の改善(長年気にされていたスマイルの改善)

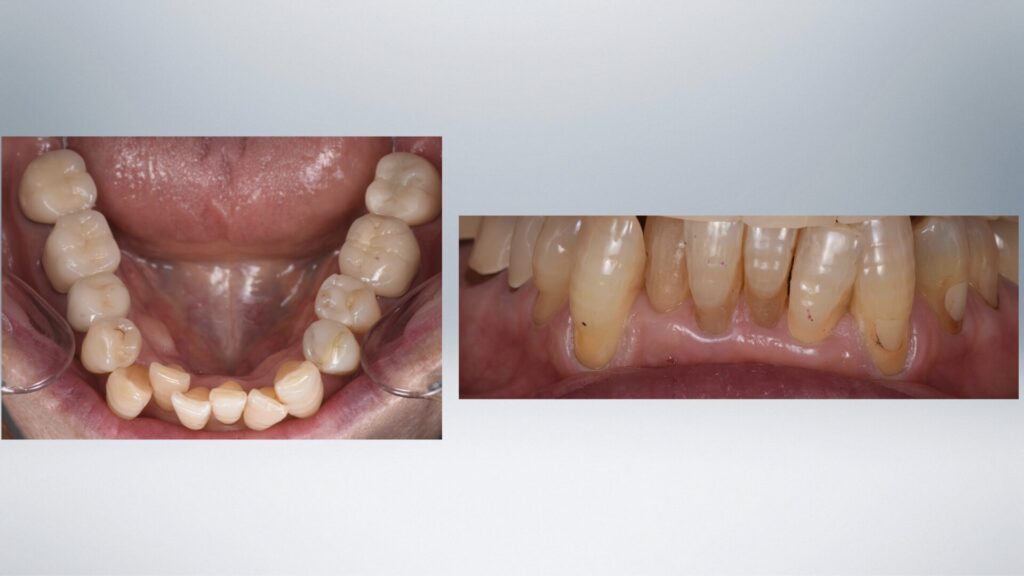
Before

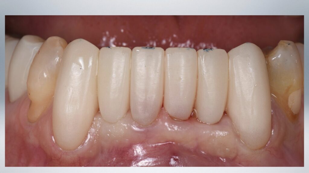
After
| 主訴 | 下の前歯のガタガタが気になる |
|---|---|
| 診断名 | 下顎前歯歯列不正(叢生) |
| 年齢・性別 | 70代女性 |
| 治療期間・回数 | 3ヶ月 |
| 治療方法 | すでに歯肉退縮も起こっている状態で年齢などを考えると矯正治療よりは補綴処置の方が目的を達成できると診断しました。デジタルデータで仮の歯を作ってから抜歯を行い、治癒後セラミック修復を行いました。 |
| 費用 | 96万円 |
| 注意点 | 抜歯を伴うため治癒期間が必要です。治療の中には保険治療が含まれていない項目があるため費用がかかります。治療期間中は仮の歯で生活する必要があり、仮歯の破損や脱離が起こることがあります |
| 備考 | 娘さん(50代)が当院でマウスピース矯正されました。 |


