矯正歯科
トップダウントリートメント審美歯科矯正歯科
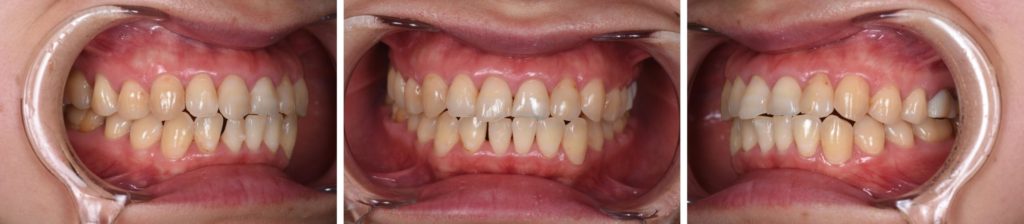
将来に備えて歯牙が残っているうちに矯正治療をおこなった症例(マウスピース矯正、セラミック修復)

Before

After
| 主訴 | 将来に対する不安がある |
|---|---|
| 診断名 | 歯列不正(叢生)、歯牙の先天欠損および癒合歯 |
| 年齢・性別 | 50代女性 |
| 治療期間・回数 | 40ヶ月 |
| 治療方法 | 初診時に歯列不正を伴う多数の失活歯(神経がない歯)があり、将来的な歯牙破折による治療の複雑化が予測されました。各歯牙に問題が起こる前にマウスピース矯正により歯牙のポジションを整え、セラミック修復を行い将来的なリスクを軽減することに努めました。 |
| 費用 | 400万円 |
| 注意点 | 全顎的に治療が必要なため治療期間がかかります。治療の中には保険治療が含まれていない項目があるため費用がかかります。治療期間中は仮の歯で生活する必要があり、仮歯の破損や脱離が起こることがあります |
| 備考 |
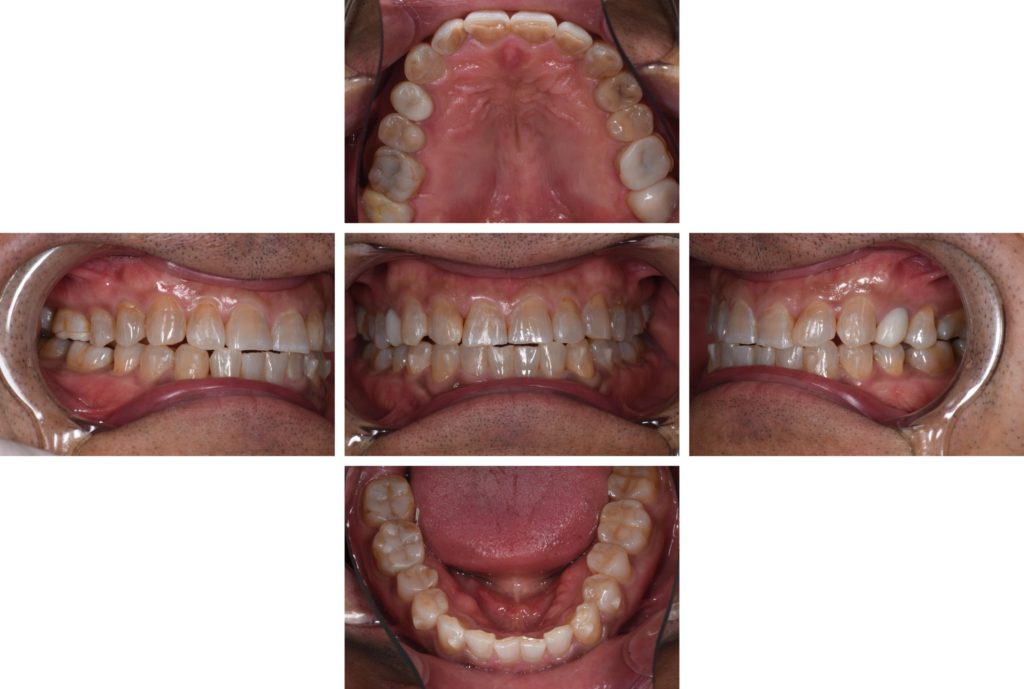
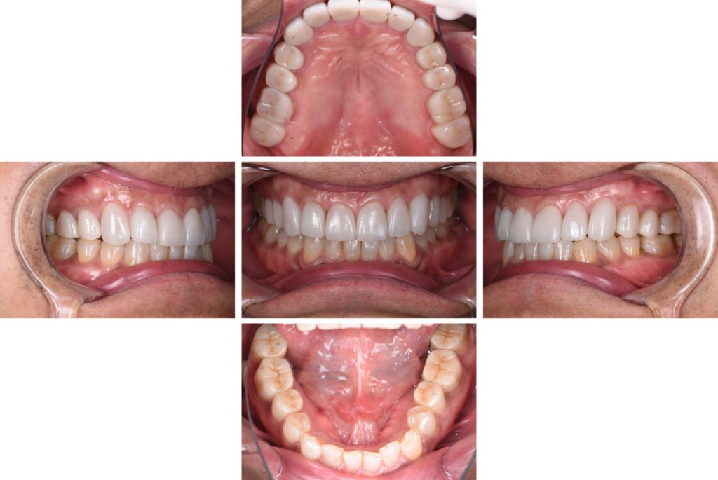
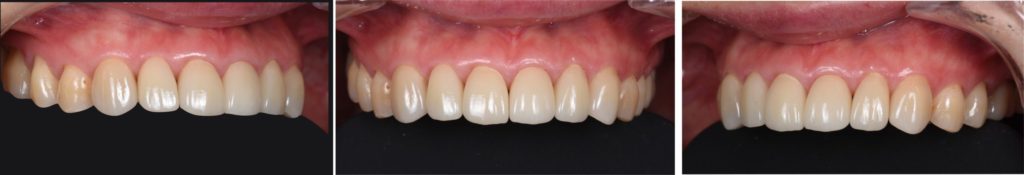
トップダウントリートメント口腔外科審美歯科欠損補綴短期集中治療矯正歯科
子育て中でお仕事されている中全体的に治療した方(デジタル、矯正、インプラント、セラミック)

Before

After
| 主訴 | 前歯の差し歯が取れた |
|---|---|
| 診断名 | 臼歯部欠損による咬合支持不足、歯列移動による咬合不調和 |
| 年齢・性別 | 女性 |
| 治療期間・回数 | 13ヶ月 |
| 治療方法 | 主訴の解決の後全顎的な診断を行い、全体的な治療を行いました。子育て中かつお仕事もされている方で限られた時間の中で治療の優先順位を組み立て、矯正治療(ゴムメタルによるワイヤー矯正→インハススアライナー)、抜歯即時インプラント(左下)、セラミック修復を行いました。 |
| 費用 | 280万円 |
| 注意点 | 全顎的に治療が必要なため治療期間がかかります。治療の中には保険治療が含まれていない項目があるため費用がかかります。治療期間中は仮の歯で生活する必要があり、仮歯の破損や脱離が起こることがあります。 |
| 備考 | 子育てと仕事で忙しく自分のことは後回しにしてきた。 |
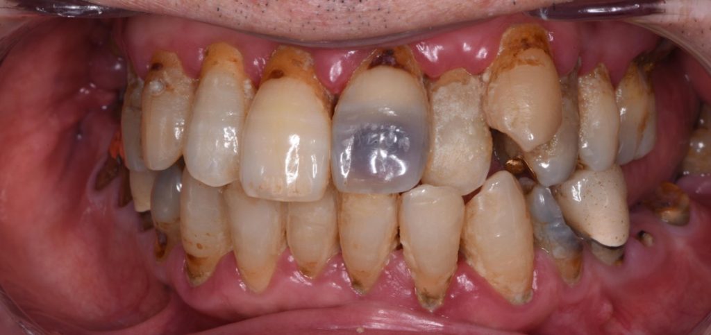
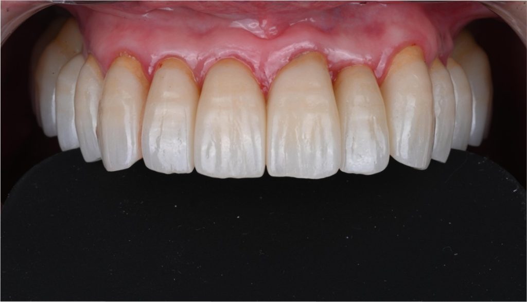
トップダウントリートメント口腔外科審美歯科欠損補綴矯正歯科虫歯治療
新幹線で通院して崩壊した状態からリカバリーした症例(抜歯即時インプラント、インビザライン、セラミック、フルマウス)

Before

After
| 診断名 | 前歯審美障害(う蝕、歯牙の変色による)、全顎的咬合崩壊 |
|---|---|
| 年齢・性別 | 68歳 男性 |
| 治療期間・回数 | 40ヶ月 |
| 治療方法 | 全顎的な診査・診断のもと治療計画を立案した。臼歯部が失われていたため抜歯即時埋入インプラントと造成処置(硬・軟組織)を行ったあと、インプラント部の仮歯をアンカーとして矯正治療を行なった(インビザラインにて)。適切なアンテリアガイダンスがが得られた後に全顎的補綴処置を行なった。 |
| 費用 | 7,800,000円 |
| 注意点 | 全顎的に治療が必要なため治療期間がかかります。治療の中には保険治療が含まれていない項目があるため費用がかかります。治療期間中は仮の歯で生活する必要があり、仮歯の破損や脱離が起こることがあります。 |
トップダウントリートメント審美歯科矯正歯科虫歯治療
デジタルによるスマイルデザインから接着修復にて全顎的に修復した症例(インビザライン、セラミック、デジタル)

Before

After
| 診断名 | 補綴物下の二次う蝕(歯肉縁下う蝕含む)・前歯部審美障害(咬耗による歯牙形態異常および歯牙の色調) |
|---|---|
| 年齢・性別 | 57歳 男性 |
| 治療期間・回数 | 22ヶ月 |
| 治療方法 | 基礎治療、矯正治療(インビザラインにて)後、デジタルデータを元にトップダウンで理想的な歯牙形態をシミュレーションし、モックアップ→プロビジョナルレストレーション装着後確認作業を行い、全顎的接着修復を行なった。 |
| 費用 | 3,000,000円 |
| 注意点 | 矯正治療期間中の発音や咀嚼への影響、補綴処置による歯質削除、修復物の破損や脱離の可能性がある |
トップダウントリートメント審美歯科短期集中治療矯正歯科虫歯治療
妊娠中の嘔吐習慣によるエロージョン(酸蝕症)と歯軸傾斜を短期間で改善した症例(インハウスアライナー、セラミック、デジタル)

Before

After
| 診断名 | 前歯部審美障害(酸蝕および咬耗による歯牙形態異常)および発音障害 |
|---|---|
| 年齢・性別 | 39歳 女性 |
| 治療期間・通院回数 | 6ヶ月 |
| 治療方法 | デジタルセットアップ→診断→院内製作マウスピース型矯正装置による矯正治療→前歯部補綴 |
| 費用 | 1,720,000円 |
| 注意点 | 矯正治療に伴う歯の移動時の痛み、補綴処置による歯質削除、治療期間中の見た目の変化 |