トップダウントリートメント
トップダウントリートメント審美歯科矯正歯科
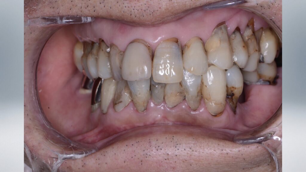
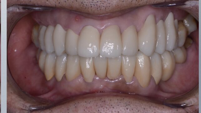
将来に備えて歯牙が残っているうちに矯正治療をおこなった症例(マウスピース矯正、セラミック修復)

Before

After
| 主訴 | 将来に対する不安がある |
|---|---|
| 診断名 | 歯列不正(叢生)、歯牙の先天欠損および癒合歯 |
| 年齢・性別 | 50代女性 |
| 治療期間・回数 | 40ヶ月 |
| 治療方法 | 初診時に歯列不正を伴う多数の失活歯(神経がない歯)があり、将来的な歯牙破折による治療の複雑化が予測されました。各歯牙に問題が起こる前にマウスピース矯正により歯牙のポジションを整え、セラミック修復を行い将来的なリスクを軽減することに努めました。 |
| 費用 | 400万円 |
| 注意点 | 全顎的に治療が必要なため治療期間がかかります。治療の中には保険治療が含まれていない項目があるため費用がかかります。治療期間中は仮の歯で生活する必要があり、仮歯の破損や脱離が起こることがあります |
| 備考 |
トップダウントリートメント口腔外科欠損補綴短期集中治療
施設に入る前にできる限りの治療をしたい(人生の最後に向けての歯科治療戦略)

Before

After
| 主訴 | 入れ歯が動いて何も食べられない |
|---|---|
| 診断名 | 上下無歯顎および不適合義歯による咀嚼障害 |
| 年齢・性別 | 90代女性 |
| 治療期間・回数 | 6ヶ月 |
| 治療方法 | 残念ながら残っている歯は全て虫歯、歯根破折により残せない状態だったため抜歯を行いました。ブランチングテクニック(仮の義歯での試行錯誤を行なってから最終的な義歯を作るやり方)の過程で下顎の残っている骨の幅が少なすぎて義歯を大きくせざる得なかったため最小限の侵襲(フラップレスサージェリー)にて義歯をサポートするためのインプラントを入れました。 |
| 費用 | 200万円 |
| 注意点 | 全顎的に治療が必要なため治療期間がかかります。治療の中には保険治療が含まれていない項目があるため費用がかかります。治療期間中は仮の義歯で生活する必要があり、仮義歯の破損や脱離が起こることがあります |
| 備考 | 家族の介助の元通院していただき無事に施設に入ることができました。 |
トップダウントリートメント審美歯科欠損補綴短期集中治療虫歯治療
他院で治療拒否された方(デジタルの有用性を感じた症例)

Before

After
| 主訴 | 虫歯の治療をしてほしい |
|---|---|
| 診断名 | 全顎的う蝕(主に棍面う蝕、歯肉縁下う蝕) |
| 年齢・性別 | 70代男性 |
| 治療期間・回数 | 12ヶ月 |
| 治療方法 | 誤嚥防止のためラバーダム下にてブロックごとに治療を進めたあとデジタル機器を応用し、仮の歯の製作を行なった。その後仮の歯での噛み合わせ、清掃状態の確認後最終的なセラミック修復を行なった。 |
| 費用 | 430万円 |
| 注意点 | 全顎的に治療が必要なため治療期間がかかります。治療の中には保険治療が含まれていない項目があるため費用がかかります。治療期間中は仮の歯で生活する必要があり、仮歯の破損や脱離が起こることがあります |
| 備考 | 食道がんの既往があり歯を削った際の水の誤嚥や通常の歯型をとる行為が不可能な方でした。家族の紹介により遠方より来院。 デジタル機器を応用することで全顎的な治療を終えられました。 |
トップダウントリートメント欠損補綴短期集中治療
90歳からのバージョンアップ(より何でも食べたい)

Before

After
| 主訴 | 今よりもっと何でも食べれるようになりたい |
|---|---|
| 診断名 | 多数歯欠損および不適合義歯による咀嚼能力低下 |
| 年齢・性別 | 90代男性 |
| 治療期間・回数 | 6ヶ月 |
| 治療方法 | ブランチングテクニック(治療用の義歯を作り試行錯誤してから最終義歯を作る手法)、ブレードティースの使用、インプラントはデジタル診断によるフラップレスサージェリーで低侵襲に抑え、インプラントサポート義歯による義歯の快適化(義歯の大きさを小さくする、動きを少なくする)を行いました。下顎はインプラント、天然歯が混在する中、構造設計士によりキャストフレームがデザインされています。 |
| 費用 | 170万円 |
| 注意点 | 全顎的に治療が必要なため治療期間がかかります。治療の中には保険治療が含まれていない項目があるため費用がかかります。治療期間中は仮の義歯で生活する必要があり、仮歯の破損や脱離が起こることがあります |
| 備考 | 90代ながら一人で歩いて治療に来られた方 より快適な人生を求められました。 |
トップダウントリートメント口腔外科審美歯科根管治療欠損補綴歯周病治療短期集中治療虫歯治療
施設に入る前の集中治療(インプラント、セラミック、咬合再構成)

Before

After
| 主訴 | 歯がグラグラで噛めない、歯が抜けそうで怖い |
|---|---|
| 診断名 | 咬合崩壊(歯根破折の放置および臼歯部欠損による) |
| 年齢・性別 | 70代女性 |
| 治療期間・回数 | 24ヶ月 |
| 治療方法 | 全顎的な診査・診断のもと治療計画を立案し、ステージごとにシークエンシャルトリートメントを行なっていった。基礎治療(虫歯治療、根管治療、歯周初期治療)後、欠損部にインプラント手術を行い、全顎的な仮歯の調整のあとセラミック修復を行なった。 |
| 費用 | 770万円 |
| 注意点 | 全顎的に治療が必要なため治療期間がかかります。治療の中には保険治療が含まれていない項目があるため費用がかかります。治療期間中は仮の歯で生活する必要があり、仮歯の破損や脱離が起こることがあります。 |
| 備考 | 当初は義歯希望されましたが、治療を進めるにつれ健康の回復、食事や日常生活での快適性を希望されインプラント治療を行いました。 |