口腔外科
トップダウントリートメント口腔外科欠損補綴短期集中治療
施設に入る前にできる限りの治療をしたい(人生の最後に向けての歯科治療戦略)

Before

After
| 主訴 | 入れ歯が動いて何も食べられない |
|---|---|
| 診断名 | 上下無歯顎および不適合義歯による咀嚼障害 |
| 年齢・性別 | 90代女性 |
| 治療期間・回数 | 6ヶ月 |
| 治療方法 | 残念ながら残っている歯は全て虫歯、歯根破折により残せない状態だったため抜歯を行いました。ブランチングテクニック(仮の義歯での試行錯誤を行なってから最終的な義歯を作るやり方)の過程で下顎の残っている骨の幅が少なすぎて義歯を大きくせざる得なかったため最小限の侵襲(フラップレスサージェリー)にて義歯をサポートするためのインプラントを入れました。 |
| 費用 | 200万円 |
| 注意点 | 全顎的に治療が必要なため治療期間がかかります。治療の中には保険治療が含まれていない項目があるため費用がかかります。治療期間中は仮の義歯で生活する必要があり、仮義歯の破損や脱離が起こることがあります |
| 備考 | 家族の介助の元通院していただき無事に施設に入ることができました。 |
トップダウントリートメント口腔外科審美歯科根管治療欠損補綴歯周病治療短期集中治療虫歯治療
施設に入る前の集中治療(インプラント、セラミック、咬合再構成)

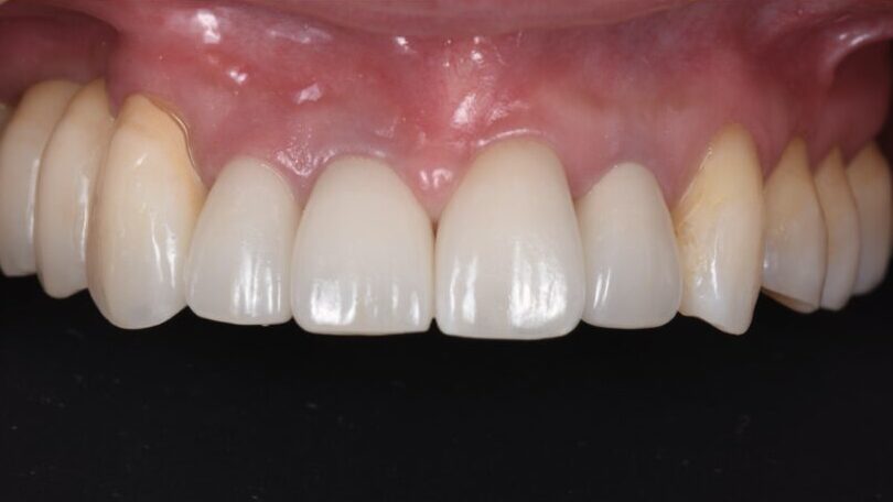
Before

After
| 主訴 | 歯がグラグラで噛めない、歯が抜けそうで怖い |
|---|---|
| 診断名 | 咬合崩壊(歯根破折の放置および臼歯部欠損による) |
| 年齢・性別 | 70代女性 |
| 治療期間・回数 | 24ヶ月 |
| 治療方法 | 全顎的な診査・診断のもと治療計画を立案し、ステージごとにシークエンシャルトリートメントを行なっていった。基礎治療(虫歯治療、根管治療、歯周初期治療)後、欠損部にインプラント手術を行い、全顎的な仮歯の調整のあとセラミック修復を行なった。 |
| 費用 | 770万円 |
| 注意点 | 全顎的に治療が必要なため治療期間がかかります。治療の中には保険治療が含まれていない項目があるため費用がかかります。治療期間中は仮の歯で生活する必要があり、仮歯の破損や脱離が起こることがあります。 |
| 備考 | 当初は義歯希望されましたが、治療を進めるにつれ健康の回復、食事や日常生活での快適性を希望されインプラント治療を行いました。 |
トップダウントリートメント口腔外科審美歯科短期集中治療
アクティブシニアの方の歯列不正の改善(長年気にされていたスマイルの改善)

Before

After
| 主訴 | 下の前歯のガタガタが気になる |
|---|---|
| 診断名 | 下顎前歯歯列不正(叢生) |
| 年齢・性別 | 70代女性 |
| 治療期間・回数 | 3ヶ月 |
| 治療方法 | すでに歯肉退縮も起こっている状態で年齢などを考えると矯正治療よりは補綴処置の方が目的を達成できると診断しました。デジタルデータで仮の歯を作ってから抜歯を行い、治癒後セラミック修復を行いました。 |
| 費用 | 96万円 |
| 注意点 | 抜歯を伴うため治癒期間が必要です。治療の中には保険治療が含まれていない項目があるため費用がかかります。治療期間中は仮の歯で生活する必要があり、仮歯の破損や脱離が起こることがあります |
| 備考 | 娘さん(50代)が当院でマウスピース矯正されました。 |
トップダウントリートメント口腔外科審美歯科欠損補綴短期集中治療矯正歯科
子育て中でお仕事されている中全体的に治療した方(デジタル、矯正、インプラント、セラミック)

Before

After
| 主訴 | 前歯の差し歯が取れた |
|---|---|
| 診断名 | 臼歯部欠損による咬合支持不足、歯列移動による咬合不調和 |
| 年齢・性別 | 女性 |
| 治療期間・回数 | 13ヶ月 |
| 治療方法 | 主訴の解決の後全顎的な診断を行い、全体的な治療を行いました。子育て中かつお仕事もされている方で限られた時間の中で治療の優先順位を組み立て、矯正治療(ゴムメタルによるワイヤー矯正→インハススアライナー)、抜歯即時インプラント(左下)、セラミック修復を行いました。 |
| 費用 | 280万円 |
| 注意点 | 全顎的に治療が必要なため治療期間がかかります。治療の中には保険治療が含まれていない項目があるため費用がかかります。治療期間中は仮の歯で生活する必要があり、仮歯の破損や脱離が起こることがあります。 |
| 備考 | 子育てと仕事で忙しく自分のことは後回しにしてきた。 |
トップダウントリートメント口腔外科審美歯科短期集中治療虫歯治療
エナメル質を温存したセラミック治療(デジタル使用)

Before

After
| 主訴 | 前歯の見た目が気になる |
|---|---|
| 診断名 | 不適合補綴物および歯茎線不調和による前歯部審美障害 |
| 年齢・性別 | 女性 |
| 治療期間・回数 | 6ヶ月 |
| 治療方法 | フェイススキャンの情報から顔貌から理想的な歯牙形態、ガムラインを診断した。デジタルデータから作ったサージカルステントを元に外科的に歯肉の切除を行い、理想的な歯牙形態をデジタルデータから作ったモックアップとして口腔内に再現した。そこからセラミックの厚み分だけ歯の切削を行い、仮歯でのチェックの後ラミネートベニアにて審美性の回復を行なった。 |
| 費用 | 100万 |
| 注意点 | 診断の元ステップを分けて治療が必要なため治療期間がかかります。治療の中には保険治療が含まれていない項目があるため費用がかかります。治療期間中は仮の歯で生活する必要があり、仮歯の破損や脱離が起こることがあります。 |
| 備考 |