トップダウントリートメント口腔外科審美歯科欠損補綴短期集中治療
ボトムアップトリートメントから顎運動診断の元トップダウントリートメントに切り替えた症例(GBR,インプラント、CADIAX、デジタル、全てのセラミックのやりかえ希望)

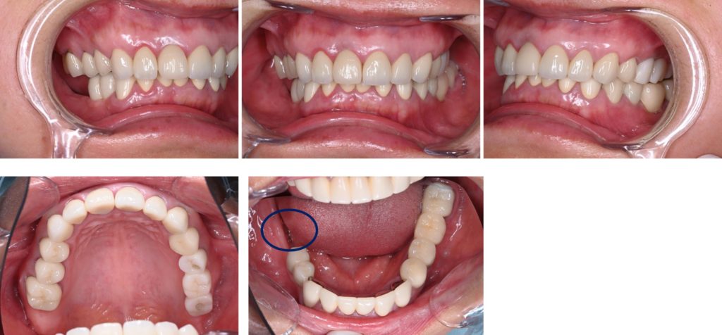
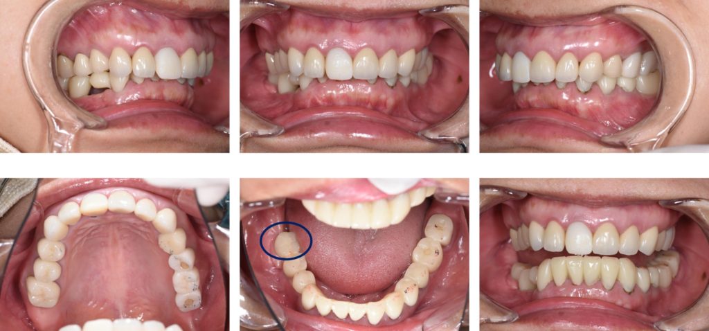
Before

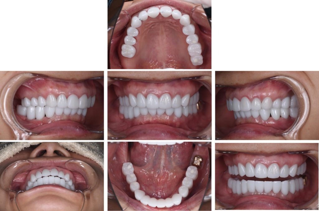
After
| 主訴 | 右下にインプラントを入れたい |
|---|---|
| 診断名 | 臼歯部欠損および全顎的咬合崩壊 |
| 年齢・性別 | 47歳 女性 |
| 治療期間・回数 | 30ヶ月 |
| 治療方法 | 当初は他院でインプラトができたいと言われた部分(右下)の骨造成処置後インプラト埋入手術を行なった。元々全てセラミックが入っていたが、全体的なバランス(咬合平面、咬合高径)、や歯の色に改善の余地があったため、患者との話し合いの上、可撤性のマウスピースでのトライ→接着性のトライ→セラミックへの置き換えを行なった(デジタルにて)。CADIAXにて術前、術中での顎運動の評価も行なった。 |
| 費用 | 3,230,000円 |
| 注意点 | 外科手術に伴う腫脹・疼痛・出血、インプラント周囲炎のリスク、補綴物の破損リスク |













