トップダウントリートメント審美歯科矯正歯科虫歯治療
デジタルによるスマイルデザインから接着修復にて全顎的に修復した症例(インビザライン、セラミック、デジタル)

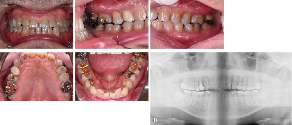
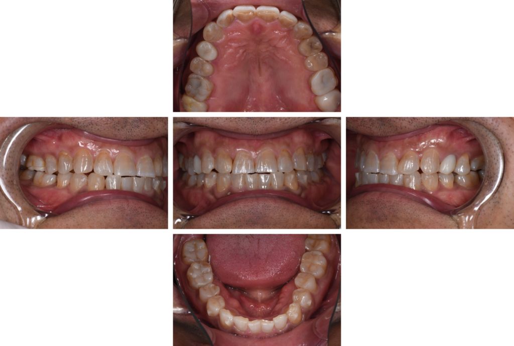
Before

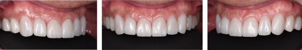
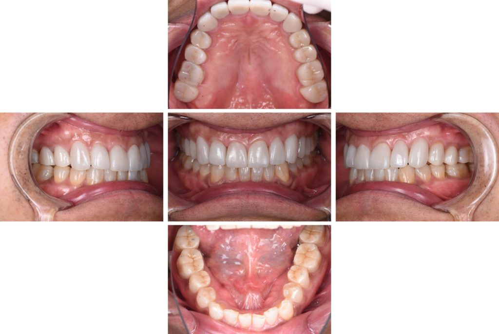
After
| 診断名 | 補綴物下の二次う蝕(歯肉縁下う蝕含む)・前歯部審美障害(咬耗による歯牙形態異常および歯牙の色調) |
|---|---|
| 年齢・性別 | 57歳 男性 |
| 治療期間・回数 | 22ヶ月 |
| 治療方法 | 基礎治療、矯正治療(インビザラインにて)後、デジタルデータを元にトップダウンで理想的な歯牙形態をシミュレーションし、モックアップ→プロビジョナルレストレーション装着後確認作業を行い、全顎的接着修復を行なった。 |
| 費用 | 3,000,000円 |
| 注意点 | 矯正治療期間中の発音や咀嚼への影響、補綴処置による歯質削除、修復物の破損や脱離の可能性がある |






デジタルデータからのシミュレーションを行い、3Dプリンターから製作したモックアップ(歯を削る前材料を盛り足して確認してもらう作業)を行いました。歯を削る前に仕上がりの状態をお伝えすることが可能です。


モックアップの上からセラミックの厚みに必要な量を最小限削ります。エナメル質を温存することで、歯の強度の確保、接着の向上に有利に働きます。




術前、術後比較。歯の形態、色調の改善が認められます。