トップダウントリートメント口腔外科審美歯科欠損補綴矯正歯科虫歯治療
新幹線で通院して崩壊した状態からリカバリーした症例(抜歯即時インプラント、インビザライン、セラミック、フルマウス)

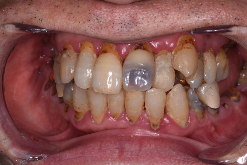
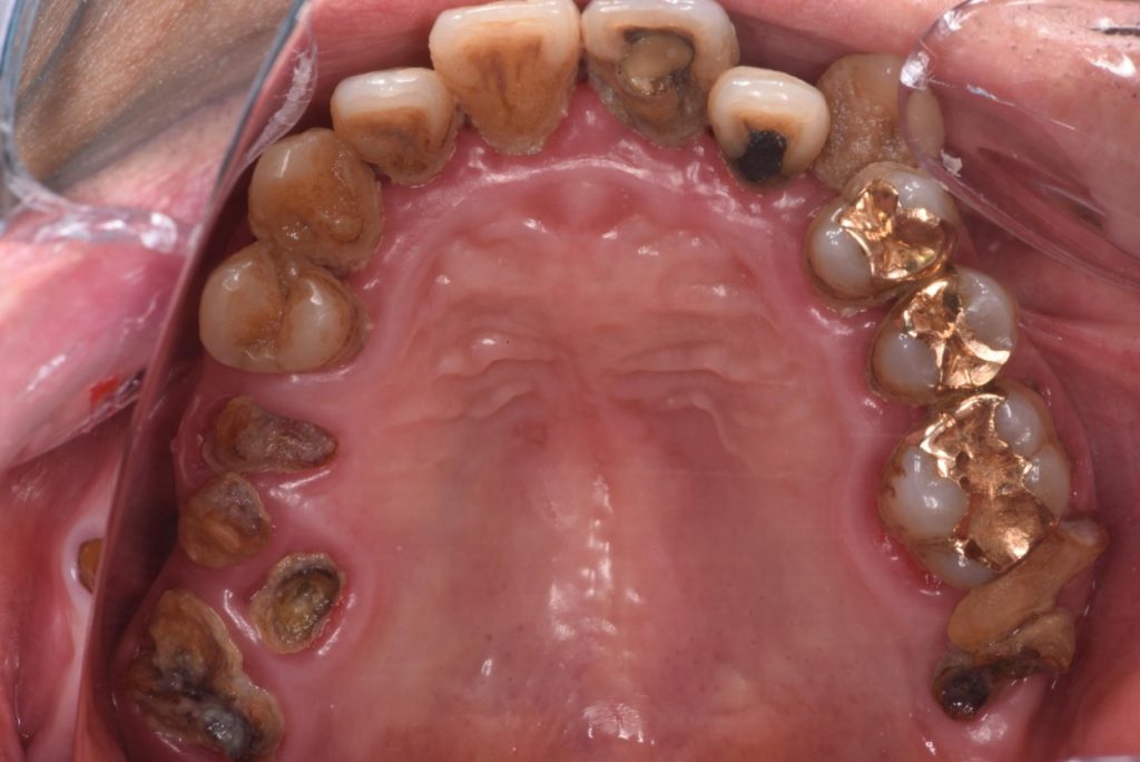
Before

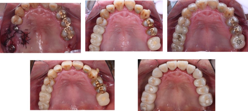
After
| 診断名 | 前歯審美障害(う蝕、歯牙の変色による)、全顎的咬合崩壊 |
|---|---|
| 年齢・性別 | 68歳 男性 |
| 治療期間・回数 | 40ヶ月 |
| 治療方法 | 全顎的な診査・診断のもと治療計画を立案した。臼歯部が失われていたため抜歯即時埋入インプラントと造成処置(硬・軟組織)を行ったあと、インプラント部の仮歯をアンカーとして矯正治療を行なった(インビザラインにて)。適切なアンテリアガイダンスがが得られた後に全顎的補綴処置を行なった。 |
| 費用 | 7,800,000円 |
| 注意点 | 全顎的に治療が必要なため治療期間がかかります。治療の中には保険治療が含まれていない項目があるため費用がかかります。治療期間中は仮の歯で生活する必要があり、仮歯の破損や脱離が起こることがあります。 |


