虫歯治療
トップダウントリートメント審美歯科欠損補綴短期集中治療虫歯治療
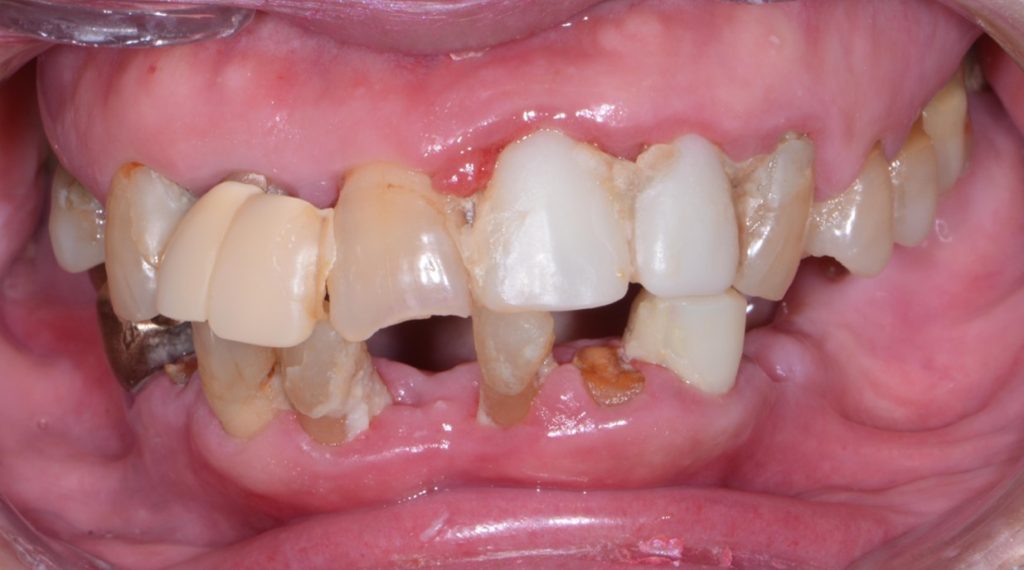
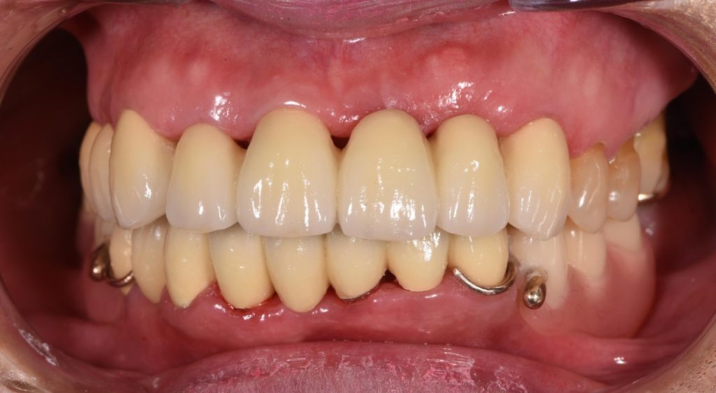
他院で治療拒否された方(デジタルの有用性を感じた症例)

Before

After
| 主訴 | 虫歯の治療をしてほしい |
|---|---|
| 診断名 | 全顎的う蝕(主に棍面う蝕、歯肉縁下う蝕) |
| 年齢・性別 | 70代男性 |
| 治療期間・回数 | 12ヶ月 |
| 治療方法 | 誤嚥防止のためラバーダム下にてブロックごとに治療を進めたあとデジタル機器を応用し、仮の歯の製作を行なった。その後仮の歯での噛み合わせ、清掃状態の確認後最終的なセラミック修復を行なった。 |
| 費用 | 430万円 |
| 注意点 | 全顎的に治療が必要なため治療期間がかかります。治療の中には保険治療が含まれていない項目があるため費用がかかります。治療期間中は仮の歯で生活する必要があり、仮歯の破損や脱離が起こることがあります |
| 備考 | 食道がんの既往があり歯を削った際の水の誤嚥や通常の歯型をとる行為が不可能な方でした。家族の紹介により遠方より来院。 デジタル機器を応用することで全顎的な治療を終えられました。 |
トップダウントリートメント口腔外科審美歯科根管治療欠損補綴歯周病治療短期集中治療虫歯治療
施設に入る前の集中治療(インプラント、セラミック、咬合再構成)

Before

After
| 主訴 | 歯がグラグラで噛めない、歯が抜けそうで怖い |
|---|---|
| 診断名 | 咬合崩壊(歯根破折の放置および臼歯部欠損による) |
| 年齢・性別 | 70代女性 |
| 治療期間・回数 | 24ヶ月 |
| 治療方法 | 全顎的な診査・診断のもと治療計画を立案し、ステージごとにシークエンシャルトリートメントを行なっていった。基礎治療(虫歯治療、根管治療、歯周初期治療)後、欠損部にインプラント手術を行い、全顎的な仮歯の調整のあとセラミック修復を行なった。 |
| 費用 | 770万円 |
| 注意点 | 全顎的に治療が必要なため治療期間がかかります。治療の中には保険治療が含まれていない項目があるため費用がかかります。治療期間中は仮の歯で生活する必要があり、仮歯の破損や脱離が起こることがあります。 |
| 備考 | 当初は義歯希望されましたが、治療を進めるにつれ健康の回復、食事や日常生活での快適性を希望されインプラント治療を行いました。 |
トップダウントリートメント口腔外科審美歯科短期集中治療虫歯治療
エナメル質を温存したセラミック治療(デジタル使用)

Before

After
| 主訴 | 前歯の見た目が気になる |
|---|---|
| 診断名 | 不適合補綴物および歯茎線不調和による前歯部審美障害 |
| 年齢・性別 | 女性 |
| 治療期間・回数 | 6ヶ月 |
| 治療方法 | フェイススキャンの情報から顔貌から理想的な歯牙形態、ガムラインを診断した。デジタルデータから作ったサージカルステントを元に外科的に歯肉の切除を行い、理想的な歯牙形態をデジタルデータから作ったモックアップとして口腔内に再現した。そこからセラミックの厚み分だけ歯の切削を行い、仮歯でのチェックの後ラミネートベニアにて審美性の回復を行なった。 |
| 費用 | 100万 |
| 注意点 | 診断の元ステップを分けて治療が必要なため治療期間がかかります。治療の中には保険治療が含まれていない項目があるため費用がかかります。治療期間中は仮の歯で生活する必要があり、仮歯の破損や脱離が起こることがあります。 |
| 備考 |
トップダウントリートメント欠損補綴短期集中治療虫歯治療
ライフスタイルと人生の残り時間を優先して治療計画を立てた方

Before

After
| 主訴 | 初めて入れた入れ歯が全く使えない |
|---|---|
| 診断名 | 義歯不適合による咀嚼機能低下 |
| 年齢・性別 | 90歳 女性 |
| 治療期間・回数 | 7ヶ月 |
| 治療方法 | ブランチングテクニックを用いた治療用義歯での試行錯誤→義歯サポート用のインプラント埋入手術(デジタル技術を用いたフラップレスサージェリー)→最終義歯装着 |
| 費用 | 1,700,000円 |
| 注意点 | 全身疾患に伴う治癒遅延、義歯安定性の限界 |
| 備考 | 全身疾患(糖尿病、心筋梗塞の既往)もあり抜歯もできず接着剤だらけで噛めない |
トップダウントリートメント口腔外科審美歯科欠損補綴矯正歯科虫歯治療
新幹線で通院して崩壊した状態からリカバリーした症例(抜歯即時インプラント、インビザライン、セラミック、フルマウス)

Before

After
| 診断名 | 前歯審美障害(う蝕、歯牙の変色による)、全顎的咬合崩壊 |
|---|---|
| 年齢・性別 | 68歳 男性 |
| 治療期間・回数 | 40ヶ月 |
| 治療方法 | 全顎的な診査・診断のもと治療計画を立案した。臼歯部が失われていたため抜歯即時埋入インプラントと造成処置(硬・軟組織)を行ったあと、インプラント部の仮歯をアンカーとして矯正治療を行なった(インビザラインにて)。適切なアンテリアガイダンスがが得られた後に全顎的補綴処置を行なった。 |
| 費用 | 7,800,000円 |
| 注意点 | 全顎的に治療が必要なため治療期間がかかります。治療の中には保険治療が含まれていない項目があるため費用がかかります。治療期間中は仮の歯で生活する必要があり、仮歯の破損や脱離が起こることがあります。 |